Magnet­resonanz­tomographie (MRT)

Die Magnetresonanztomographie (MRT) wurde als bildgebendes Verfahren ab 1973 vor allem von Paul C. Lauterbur und Sir Peter Mansfield entwickelt.

In den letzten Jahren hat sich die Methode stark weiterentwickelt und in der medizinischen Diagnostik etabliert.

Im Magnetresonanztomographen liegt die zu untersuchende Person in einem starken, homogenen Magnetfeld. Dieses Magnetfeld bewirkt eine gemeinsame Ausrichtung der Wasserstoffprotonen im Körper entlang der Längsachse des Magnetfeldes. Wird nun diesen Teilchen Energie in Form von Radiowellen in einer genau abgegrenzten Frequenz zugeführt, so werden sie aus ihrer ursprünglichen Orientierung abgelenkt.
Die zugeführte Energie wird in gewebespezifischer Weise wieder abgegeben. Ein hochempfindliches Computersystem misst die unterschiedliche Energieabgabe und setzt sie in Bildinformationen um. Jede Körperregion kann somit durch Schnittbilder in allen Raumebenen oder durch dreidimensionale Rekonstruktionen mit einem exzellenten Weichteilkontrast dargestellt werden. Es besteht keine Belastung durch Röntgenstrahlen.

Die MRT wird immer dann eingesetzt, wenn Verfahren mit Röntgen oder Ultraschall keine klaren Aussagen liefern können oder wenn dynamische Prozesse des Körpers untersucht werden sollen.

Die Aussagefähigkeit der MRT ist bei den folgenden Fragestellungen besonders geeignet. Zur Einschätzung der Wertigkeit der MRT gegenüber anderen bildgebenden Verfahren, wie Computertomographie, Sonographie oder Röntgen stehen Ihnen unsere radiologischen Fachärzte zur Verfügung.

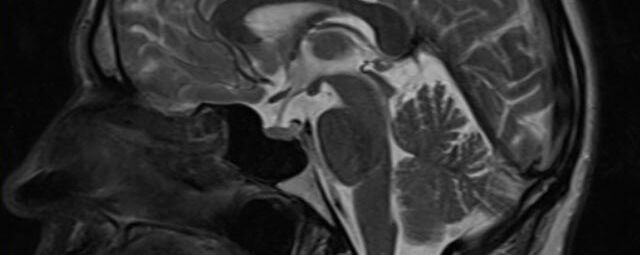
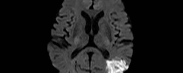
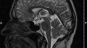
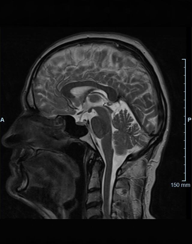
Kopf/Hals
  • akute Schlaganfalldiagnostik und chronische Durchblutungsstörungen
  • entzündliche Prozesse des Gehirns oder der Gesichtsweichteile
  • Tumore
  • Abklärung Schwindel, zentrale Sehstörung, Kopfschmerz
  • Metastasenverdacht
  • Multiple Sklerose
  • Abklärung Hirnnerven, Schädelbasis inkl. Hypophyse
  • Abklärung Kleinhirn, Hirnstamm, Halsmark
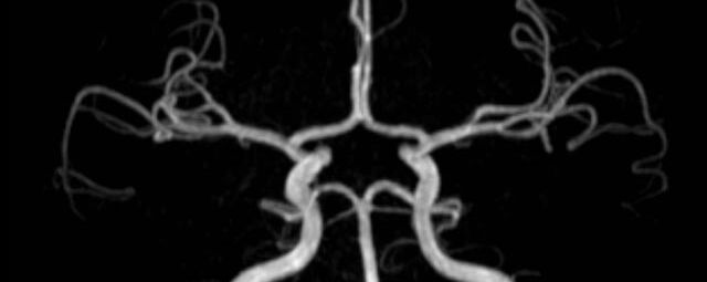
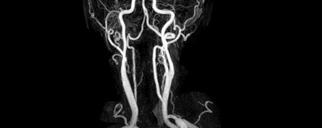
  • intrakranielle Gefäße (Abklärung Verschluss, Stenose, Aneurysma)
  • Halsgefäße zur Therapieplanung (z.B. Stent, Operation)
Herz/Thorax

MRT - Herzens
Diese Untersuchung führen wir ausschließlich an unserem Standort in Leipzig am Diakonissenkrankenhaus durch. Bitte nehmen Sie zur Vereinbarung eines Termins telefonischen Kontakt mit uns auf: 0341 3937-3000 oder schreiben Sie uns eine E-Mail an:

MRT Thorax
MR-Angiographie zur Erfassung und Verlaufskontrolle von Aneurysmen der Aorta thorakalis und ihrer Gefäßabgänge

MRT der Mamma

Diese Untersuchung führen wir ausschließlich an unserem Standort in Leipzig am Diakonissenkrankenhaus durch. Bitte nehmen Sie zur Vereinbarung eines Termins telefonischen Kontakt mit uns auf: 0341 3937-3000 oder schreiben Sie uns eine E-Mail an:

MRT-gestützte Vakuumsaugbiopsie der Mamma

Diese Untersuchung führen wir ausschließlich an unserem Standort in Leipzig am Diakonissenkrankenhaus durch. Bitte nehmen Sie zur Vereinbarung eines Termins telefonischen Kontakt mit uns auf: 0341 3937-3000 oder schreiben Sie uns eine E-Mail an:

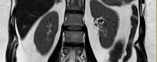
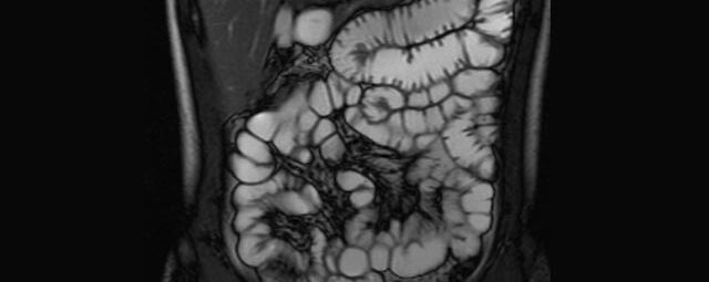
Abdomen/Becken
  • Leber
    • Beurteilung von Lebervergrößerung und Leberverfettung
      Abgrenzung gutartiger (z.B. Hämangiom, FNH oder Zysten) von bösartigen Lebererkrankungen (z.B. hepatozelluläres Karzinom, Metastasenverdacht)
    • exakte Zuordnung krankhafter Prozesse zu einzelnen Lebersegmenten vor einer geplanten Operation.
    • Therapieverlaufskontrolle
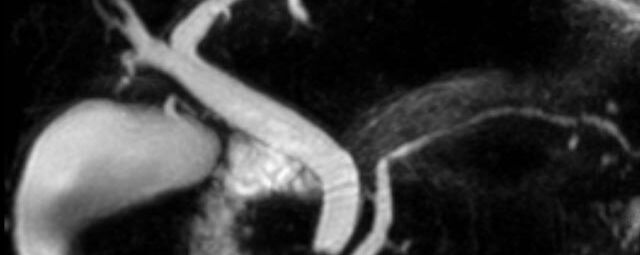
  • Gallenwegssystem
    • Nichtinvasive Darstellung der Gallenwege (MRCP)
    • Abklärung der Ursache einer Gallenabflussbehinderung (Tumor, Gallensteine, Entzündung)
  • Pankreas
    • Diagnostik des Pankreaskarzinoms und Pankreasentzündung
    • weitere Einordnung von Pankreaszysten (z.B. Pseudozysten, IPMN)
    • Therapieverlaufskontrolle
  • Nieren
    • Abklärung der Ursache einer Harnstauung (MR-Urographie)
    • Abgrenzung gutartiger (z.B. Zysten) von bösartigen Nierenerkrankungen (Nierenzellkarzinom)
    • Auffälligkeiten an Nebennieren (z.B. Adenom, Karzinom)
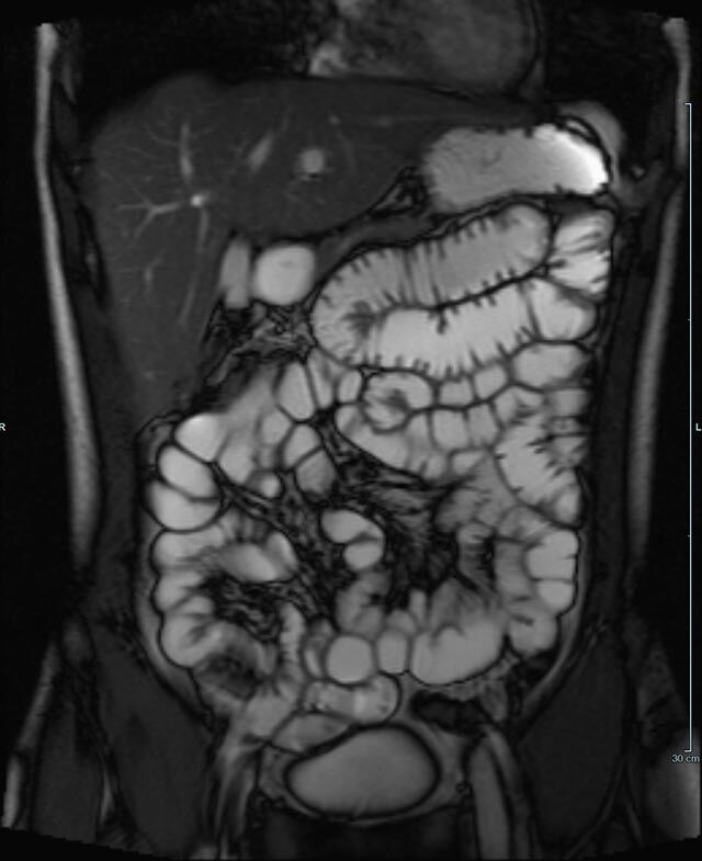
  • Darm
    • Darstellung bzw. Kontrolle im Verlauf bei perianalen Fisteln und Abszessen
    • Verlaufskontrolle des Lokalbefundes nach Rektumentfernung bei Karzinom
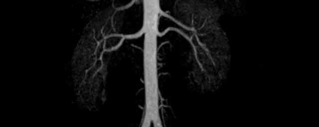
  • Bauchgefäße
    • Erfassung und Verlaufskontrolle bei arteriellen Aneurysmen (Aussackungen der Arterien), vor allem der Bauchaorta
    • Darstellung von Gefäßengen an Nierenarterien, Baucharterien und Becken-/Beinarterien
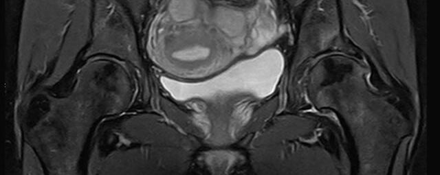
  • Urogenitalorgane
    • Tumordiagnostik z.B. im Bereich der Ovarien, des Uterus, der Prostata oder Harnblase
    • dynamische MR-Analyse bei Beckenbodeninsuffizienz
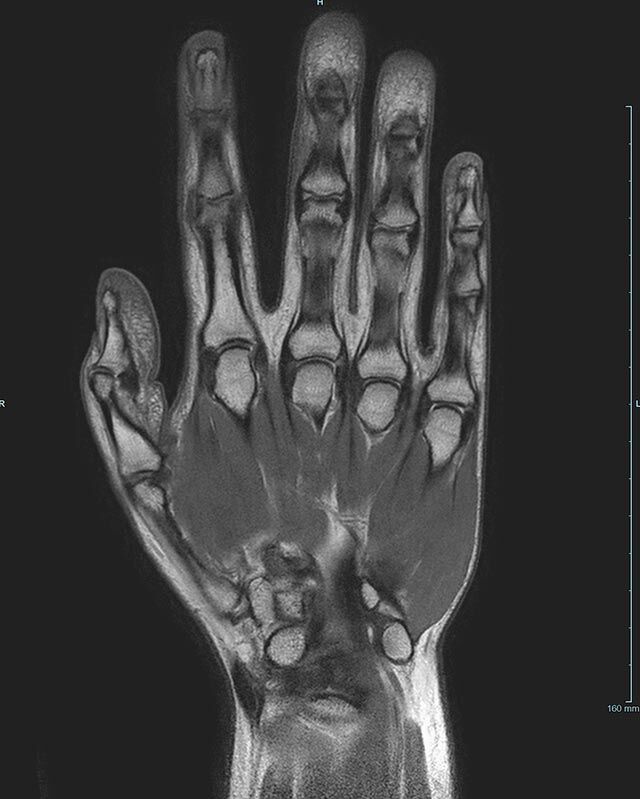
Gelenke
  • Beurteilung von Knochen, Bändern und anderen Weichteilstrukturen der Gelenke nach Unfall.
  • Arthrosediagnostik (Knorpelschaden)
  • Impingement-Symptomatik
  • Ursachenklärung bei wiederholter spontaner Gelenkluxation
  • Ausbreitungsdiagnostik bei Gelenkentzündung, z.B. im Rahmen von rheumatischen Grunderkrankungen
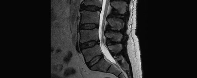
Wirbelsäule
  • Abklärung Bandscheibenvorfall
  • Beurteilung Einengung des Rückenmarkkanals oder der Neuroforamina im Rahmen der degenerativen Wirbelsäulenerkrankung
  • Tumor-/Entzündungsdiagnostik
  • Multiple Sklerose
  • Abklärung Spondylolisthesis
  • Frakturdiagnostik (Alter und Ausdehnung der Fraktur) z.B. im Rahmen der Osteoporose
MR-Angiografie (MRA)
  • MR-Angiografie ohne Kontrastmittel
    • Time of Flight (TOF)-Angiographie

Je nach Fragestellung und Körperregion Gefäßdarstellung ohne Kontrastmittel bei Kontrastmittelunverträglichkeit oder terminaler Niereninsuffizienz möglich.

  • MR-Angiographie mit Kontrastmittel
    • Erfassung arterieller und venöser Gefäße/Bypässe aller Körperregionen mit 3D-Rekonstruktion
Spezialtechniken der Magnetresonanz
  • Diffusionswichtung
  • Perfusionswichtung
  • Suszeptibilitätswichtung
  • MR-Spektroskopie

Diese Untersuchung führen wir ausschließlich an unserem Standort in Leipzig am Diakonissenkrankenhaus durch. Bitte nehmen Sie zur Vereinbarung eines Termins telefonischen Kontakt mit uns auf: 0341 3937-3000 oder schreiben Sie uns eine E-Mail an:

Vor der Untersuchung wird Ihnen ein Aufklärungsbogen ausgehändigt, den Sie bitte sorgfältig lesen und ausfüllen müssen.

Die MRT arbeitet mit starken Magnetfeldern und ist absolut schmerzfrei. Entfernen Sie bitte jedoch vor der Untersuchung Schmuck, Piercing, Uhr, Mobiltelefon, Haarnadeln, Brille, Geldbörse, Scheckkarten und sonstige magnetische Gegenstände. Verwenden Sie bitte im Untersuchungsbereich keine möglicherweise metallhaltigen Kosmetika (z. B. Lidschatten etc.)

Bitte weisen Sie in jedem Fall auf eine bestehende Schwangerschaft hin und besprechen Sie Medikamentenallergien mit dem Arzt, damit gegebenenfalls ein geeignetes Kontrastmittel gewählt werden kann.

Wenn Sie auf dem Untersuchungstisch liegen, werden Messspulen in der zu untersuchenden Körperregion platziert. Abhängig von der geplanten Untersuchung wird Ihnen evtl. vorher eine Venenverweilkanüle für die geplante Kontrastmittelinjektion gelegt, um besondere Körperstrukturen sichtbar zu machen. Anschließend werden Sie auf dem Tisch in den Magnettunnel gefahren. Bitte lassen Sie sich durch die Klopfgeräusche, die das System verursacht, nicht irritieren, sie erhalten Ohrstöpsel oder Kopfhörer.

Während der Untersuchung sollten Sie vollkommen ruhig bleiben. Schon geringste Bewegungen verursachen Bildstörungen und beeinflussen die Beurteilbarkeit der Aufnahmen.

Bei Untersuchungen des Bauchraumes erhalten Sie per Lautsprecher Atemkommandos, unsere MTRA befinden sich im Nebenraum und können Sie sehen.

Sie erhalten vor Beginn der Untersuchung eine Notfallklingel in die Hand, hiermit können Sie sofort Kontakt zu den Röntgenassistenten aufnehmen.

Die Untersuchungszeit liegt je nach Körperregion und Umfang der Untersuchung bei 10–30 min.

Bei vielen Fragestellungen verbessert die zusätzliche intravenöse Gabe von Kontrastmittel die Aussagekraft der MRT. MRT-Kontrastmittel enthält Gadolinium, eine seltene Erde, die das lokale Magnetfeld in der zu untersuchenden Körperregion je nach Gewebeart verändert. Weichteilstrukturen können so besser voneinander differenziert werden. Entzündungen sind in Ihrer Ausdehnung sehr gut darstellbar. Kontrastmittel kann auch in der MRT bei der Unterscheidung zwischen gutartigen und bösartigen Tumoren helfen.

Im Allgemeinen wird MRT-Kontrastmittel sehr gut vertragen. In wenigen Fällen kann die Gabe von Kontrastmittel jedoch eine allergische Reaktion auslösen. In leichten Fällen führt dies z.B. zu Übelkeit oder Hautausschlag. Je nach Schweregrad der allergischen Reaktion kann es aber auch zu Atemnot oder Herzrasen oder in den seltensten Fällen zu einem Kreislaufversagen kommen.

Die medizinische Behandlung einer allergischen Reaktion durch Kontrastmittel führen unsere radiologischen Fachärzte durch. In besonders schweren Notfällen kann ein lokaler Notarzt hinzu gerufen werden.

Zu beachten ist:

  1. Allergie
    Wenn bei Ihnen eine frühere allergische Reaktion bekannt ist, teilen Sie dies bitte der MTRA und dem zuständigen Radiologen mit! Je nach Ausprägung der bekannten Allergie wird mit Ihnen über das weitere Vorgehen beraten.
  2. Nierenfunktion
    Vor einer Gabe von Kontrastmittel in die Armvene muss sichergestellt sein, dass die Funktion der Nieren nicht eingeschränkt ist, da MRT-Kontrastmittel über die Nieren ausgeschieden wird.
    Falls bei Ihnen der medizinische Verdacht auf eine Nierenerkrankung vorliegt, bitten Sie Ihren zuweisenden Hausarzt oder Facharzt, Ihnen Ihre aktuellen Blutwerte der Nierenfunktion (Creatinin und/oder GFR) mitzuteilen.
    Bei schwerer Niereninsuffizienz wird in den letzten Jahren angenommen, dass gadoliniumhaltiges MRT-Kontrastmittel eine Nephrogene systemische Fibrose (NSF), eine schwere Erkrankung des Hautgewebes und der Organe, hervorrufen kann. Weltweit wurden bislang 315 NSF-Fälle beschrieben.
    In unserer Praxis werden keine Kontrastmittel verwendet, nach deren Gabe in den letzten Jahren in der medizinischen Fachliteratur eine NSF beschrieben wurde.
  3. Ablagerungen in Geweben
    Seit ca. 10 Jahren ist bekannt, dass sich minimale Spuren des Gadoliniums , insbesondere bei wiederholter, häufiger Gabe, in Geweben (auch im Gehirn) ablagern. Negative Auswirkungen solcher Ablagerungen wurden bisher nicht nachgewiesen.

Für die Durchführung der MRT ist in jedem Fall eine Terminvereinbarung nötig.

Nur bei einigen wenigen MRT-Untersuchungen wird eine gezielte Vorbereitung benötigt, z.B. mit Pausierung bestimmter Medikamente oder kurzzeitiger Diät. Wie Sie sich als Patient auf eine MRT-Untersuchung vorbereiten, teilt ihnen das Personal der Radiologischen Praxis oder Ihr zuweisender Hausarzt/Facharzt mit.

Kontraindikationen

  • Herzschrittmacher und ICD-Systeme können durch die Untersuchung beschädigt werden. Die magnetischen Wechselfelder können den Schrittmacher und die implantierten Elektroden erwärmen, bewegen oder in ihrer Funktion stören.
  • Metallsplitter oder Gefäßclips aus ferromagnetischem Material in ungünstiger Lage (z.B. im Auge oder im Gehirn).
  • Temporärer Cava-Filter.
  • Erstes Trimenon (= 1.–13. Woche) der Schwangerschaft (relative Kontraindikation).
  • Cochleaimplantat.
  • Implantierte Insulinpumpen (externe Pumpen müssen zur Untersuchung abgelegt werden).
  • Große oder schleifenförmig angeordnete Tätowierung im Untersuchungsgebiet (metallhaltige Farbpigmente können sich erwärmen bzw. Hautverbrennungen bis II. Grades hervorrufen).
  • Weitere Neuroimplantate, z. Bsp. SCS-Neurostimulatoren
  • Überweisungsschein
  • Chipkarte Ihrer Krankenversicherung
  • Allergiepass
  • Lesebrille
  • aktuelle Laborwerte (Creatinin und/oder GFR) bei erforderlicher Kontrastmittelgabe und Verdacht auf bzw. bekannte Nierenfunktionseinschränkung

Bringen Sie am Untersuchungstag bitte möglichst auch Befunde und Aufnahmen von Voruntersuchungen der betreffenden Körperregion mit, die nicht in unserer Praxis erstellt wurden, damit wir die Ergebnisse vergleichen und zeitnah einen Befund fertig stellen können.

Philips – MRT Gerät 1,5 T MR 5300 Chapter am Standort Aue